C.J. Henley C.J. Henley

Cosmetic Dentistry Mastery: What Makes a Truly Beautiful Smile in 2026 (Expert Insights from a Jacksonville Dentist)

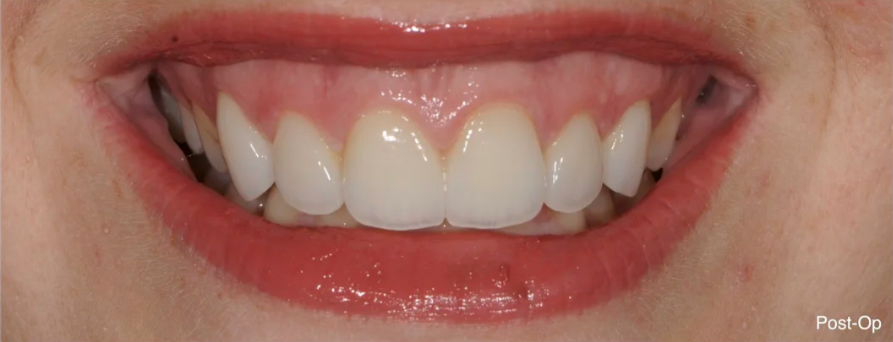
Cosmetic dentistry should enhance a smile, not announce itself. This real-world case shows how poor material selection, inadequate planning, and improper execution can lead to an unnatural result and why true cosmetic dentistry requires far more than just white teeth.

After: corrected cosmetic dentistry result with improved planning and materials
Before: poor cosmetic dentistry outcome with opaque, bulky veneers
BEFORE
AFTER

A beautiful smile isn’t just about white teeth anymore. Modern cosmetic dentistry is about harmony, proportion, balance, and longevity. When those elements are ignored, especially during treatment planning or material selection, even brand-new cosmetic dentistry can look unnatural.

This post explains what truly defines exceptional cosmetic dentistry in 2026 and beyond, and why poor planning and improper materials remain the most common reasons cosmetic cases fail. Everything here is based on real clinical experience, aesthetic principles, and real patient outcomes.

Whether you’re considering veneers, whitening, bonding, Invisalign, or a full smile makeover, this guide will help you understand what matters most and what many patients don’t realize until they’re looking at results they regret.

1. The Science Behind Beautiful Smiles

Great cosmetic dentistry results are never accidental. They are designed.

High-level cosmetic work relies on proven aesthetic and functional principles:

  • Facial harmony: Teeth must match facial proportions. Oversized, flat, or bulky restorations immediately look artificial.

  • Smile arc and proportions: Natural smiles follow subtle curves. Ignoring this leads to rigid, “piano-key” teeth.

  • Tooth shape and color theory: Shade selection isn’t just “how white.” Value, translucency, and surface texture determine whether teeth look youthful or fake.

Dentists who specialize in cosmetic dentistry use digital smile design, diagnostic mock-ups, and precise measurements before treatment begins. Skipping this step is where many cosmetic dentistry failures start.

2. The Most Impactful Cosmetic Dentistry Procedures and Where They Fail

Teeth Whitening

  • Professional whitening is one of the fastest ways to improve a smile. But whitening without evaluating enamel quality or sensitivity can exaggerate underlying issues and lead to discomfort or uneven results.

  • Porcelain Veneers: Powerful When Done Right, Obvious When Done Wrong

  • Veneers can completely transform a smile—but they demand careful planning and correct material selection.

Poor veneer outcomes almost always involve:

  • Overly opaque or incorrect ceramic materials

  • Improper thickness and contour

  • No consideration of translucency or light reflection

  • Rushed or nonexistent smile design

High-quality porcelain veneers should be indistinguishable from natural enamel. When they’re not, the problem is rarely the veneers themselves—it’s the planning behind them.

Veneers page

Dental Bonding

  • Bonding works well for small chips or gaps, but material quality and technique matter. Poor bonding stains quickly and looks dull, especially in the aesthetic zone.

Gum Contouring

  • Uneven gum architecture can ruin otherwise good cosmetic work. Ignoring gingival symmetry is a planning failure, not a minor detail.

Invisalign and Clear Aligners

  • Cosmetic alignment is not just about straight teeth. Bite, arch form, and long-term stability must be addressed. Moving teeth without functional planning often creates problems later.

3. A Real Example: When Cosmetic Dentistry Goes Wrong

The case shown above is a clear example of what happens when cosmetic dentistry is performed without proper planning and with inappropriate material choices.

The restorations appear overly opaque and bulky, with unnatural contours and poor light reflection, stains around the margins (where the restoration meets the tooth). The teeth don’t blend with the surrounding dentition or facial features. It lacks harmony, proportion, and realism.

Cases like this are rarely caused by a single mistake. They’re the result of:

  • No facial-driven smile design

  • Incorrect ceramic material selection

  • Ignoring tooth shape, thickness, and translucency

  • Poor execution of the original plan

Correcting results like these often requires removing the restorations entirely and starting over—this time with proper planning.

4. Trends Improving Cosmetic Dentistry in 2026

Modern cosmetic dentistry is evolving in ways that directly reduce failures:

  • Digital Smile Design: Final outcomes are planned before treatment begins.

  • Advanced shade-matching systems: Improved color blending and realism.

  • Minimally invasive veneers: Less tooth reduction, better long-term outcomes.

These advancements improve predictability, comfort, and longevity—not just aesthetics.

5. Common Cosmetic Dentistry Mistakes Patients Make

❌ Choosing a cosmetic dentist based on price alone
❌ Assuming all veneers and materials are the same
❌ Whitening or restoring teeth without evaluating enamel and bite
❌ Skipping diagnostic planning to “save time”

Cosmetic dentistry is a blend of art and science. When either is ignored, results suffer.

6. Materials and Techniques I Use in My Practice

In my Jacksonville cosmetic dentistry practice, material selection is never an afterthought.

I rely on:

  • High-strength esthetic ceramics (such as e.max) for natural translucency

  • Custom shade-matching protocols for seamless blending

  • Close collaboration with dental laboratories to control contour, texture, and light behavior

These decisions reduce remakes, improve longevity, and deliver smiles that feel natural not manufactured.

7. How to Choose the Right Cosmetic Dentist

Ask specific questions:

  • Do you use digital smile design or mock-ups?

  • How do you select materials for veneers?

  • Can I see before-and-after cases similar to mine?

  • How do you evaluate bite and long-term function?

  • What’s the maintenance plan after treatment?

A true cosmetic dentist designs the result before touching a tooth.

8. Frequently Asked Questions

How long do porcelain veneers last?
With proper planning, materials, and maintenance, veneers often last 10–20 years or longer.

Is cosmetic dentistry painful?
Modern techniques make most cosmetic procedures very comfortable.

What’s the difference between whitening and veneers?
Whitening changes color. Veneers change shape, proportion, and color when designed properly.

Conclusion: Great Cosmetic Dentistry Is Planned, Not Rushed

Most cosmetic dentistry failures are not caused by bad intentions—they’re caused by poor treatment planning and inappropriate material choices.

Exceptional cosmetic dentistry starts with education, design, and precision. If you’re considering a smile makeover, the most important decision you’ll make is who plans it.

When you’re ready, we’ll build a cosmetic plan that’s beautiful, functional, and designed to last—not just look good on day one.

Schedule a Consultation

Read More